Stunning Smile Transformations

Woman smiling at camera above display of dental crowns or veneers against black background.
Before
Woman smiling at camera with dental vignette showing white teeth below portrait.
After
Young woman smiling at camera with close-up of her bright white teeth below.
Before
Woman smiling at camera with close-up of healthy white teeth displayed below portrait.
After
Young person smiling at camera wearing glasses and pink hoodie; dental closeup showing healthy teeth below.
Before
Smiling person wearing glasses displaying healthy white teeth in close-up dental photo.
After
Woman smiling broadly, displaying teeth close-up for dental showcase against black background.
Before
Woman smiling displaying bright white teeth against black background for dental practice.
After
Woman smiling at camera wearing peach-colored shirt against dark background
Before
Smiling person wearing glasses against dark background, showcasing bright smile for orthodontic practice.
After
Close-up of a person's smile showing bright, white, evenly aligned teeth and healthy gums.
Before
Close-up of a bright white smile showing healthy, straight teeth and gums.
After
Close-up of person's smile showing teeth and braces treatment results.
Before
Close-up of person smiling, displaying healthy white teeth and bright smile against neutral background.
After
Close-up dental photograph showing front teeth with visible gap between upper central incisors, orthodontic treatment case.
Before
Close-up of healthy white teeth and pink gums showing proper dental alignment and oral hygiene.
After
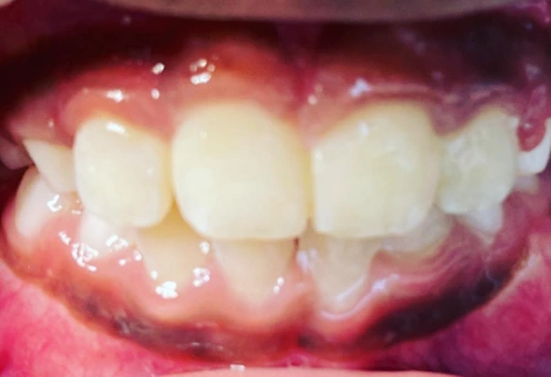
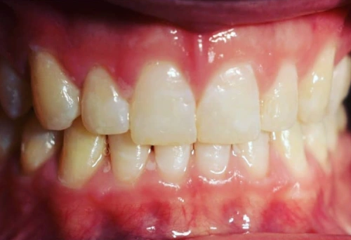
Close-up dental view showing upper front teeth with visible spacing and misalignment issues.
Before
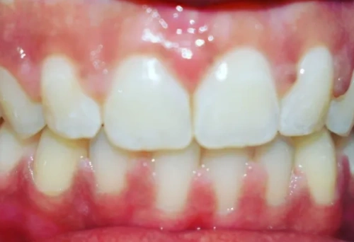
Close-up of front teeth showing dental alignment and bite correction in orthodontic treatment context.
After
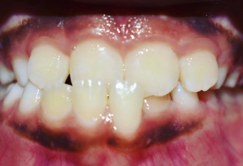
Close-up of front teeth showing a gap between upper central incisors and healthy pink gums.
Before
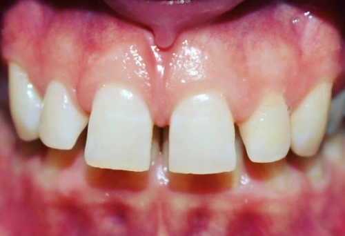
Close-up dental view showing upper teeth with visible gaps and misalignment requiring orthodontic treatment.
After
Close-up of a person's smile showing teeth before and after orthodontic treatment with braces.
Before
Close-up of a bright smile showing white upper teeth and lower teeth with visible gaps and discoloration.
After
Close-up of smile showing upper teeth with dental braces and brackets during orthodontic treatment.
Before
Close-up of a person's smile showing white teeth and pink lips against skin tone.
After
Close-up of smile showing dental gap between front teeth requiring orthodontic treatment.
Before
Close-up of a bright white smile showing straight teeth and pink lips.
After
Close-up of teeth showing dental issues including gaps, discoloration, and misalignment before orthodontic treatment.
Before
Close-up of bright white teeth and smile displaying dental work results from orthodontic treatment.
After